语音播报
中枢神经系统脱髓鞘疾病(demyelinating central nervous system disease)是一种自身免疫系统疾病,临床较常见的类型是一种病因不明的T细胞主导免疫疾病——多发性硬化症(multiple sclerosis,MS)。近年来,由水通道蛋白-4抗体(aquaporin-4 antibody,下文简称AQP4-Ab)引起的继发型脱髓鞘疾病视神经脊髓炎谱系障碍以及由髓鞘少突胶质细胞糖蛋白抗体(myelin oligodendrocyte glycoprotein antibody,下文简称MOG-Ab)引起的原发型脱髓鞘疾病也在临床上受到更多关注。
MOG-Ab疾病、AQP4-Ab疾病和多发性硬化症虽具有一定的临床相似性,但也有各自独特的发病机理和临床表征。了解驱动这些差异出现的因素,可更深入地理解这些疾病,从而更好地开展早期诊断、治疗方案优化和预后监测。脊髓病变是这三种疾病共有的标志,它可能是许多临床表征(特别是肢体残疾和神经病理性疼痛等)的主要成因。脊髓磁共振成像为非侵入式研究脊髓病变提供可能,但在这种体积较小且不断随生理节律移动的结构上成像,具有技术挑战性。
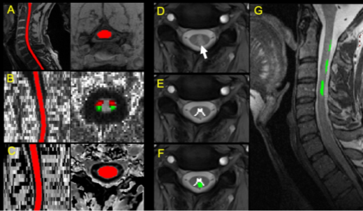
11月18日,中国科学院心理研究所行为科学重点实验室研究员孔亚卓和牛津大学临床神经科学系教授Jacqueline Palace团队在Brain上,在线发表题为Quantitative Spinal Cord MRI in MOG-Antibody Disease,Neuromyelitis Optica and Multiple Sclerosis的研究论文。该研究为单中心临床磁共振成像研究,运用多模态定量脊髓磁共振成像(quantitative spinal cord MRI)技术,招募多发性硬化症患者、MOG-Ab疾病患者、AQP4-Ab疾病患者和健康志愿者共80人,获取其颈部等区域脊髓的截面积、病灶分布、纤维束各向异性分数和磁转化率等定量指标(图1),用于区分三种中枢神经系统脱髓鞘疾病,并评估其与残疾指数和病理性疼痛等临床指标的关联性。
研究运用主成分分析方法测试了脊髓成像定量指标对疾病类型的分辨和预测能力,结果发现,脊髓磁共振成像定量指标可区分出三种中枢神经系统脱髓鞘疾病(图2)。该研究通过比较脊髓成像定量指标与临床指标的关系,发现脊髓的结构萎缩与患者的残疾指数相关最显著,说明脊髓结构损伤可能是脱髓鞘疾病致残的主要因素。同时,通过多重回归模型,研究发现脊髓丘脑束的FA值与患者的神经病理性疼痛评分呈显著负相关。脊髓丘脑束位于脊髓白质中,由脊髓侧索和脊髓前索两部分组成,是感觉信息由脊髓上行传递至大脑的重要通路,该结果进一步证明,感觉上行通路——脊髓丘脑束的损伤可能是脱髓鞘疾病伴发神经病理性疼痛的重要因素。基于该研究结果,脊髓弥散张量成像的白质纤维束分析有望成为神经病理性疼痛研究的有效工具。MOG-Ab是新定型的疾病,相关研究较少,其是否会对中枢神经系统的灰质结构产生影响尚需探索。研究发现,MOG-Ab疾病患者脊髓灰质体积减小,且单相和复发型MOG-Ab疾病患者的脊髓灰质体积存在显著差异。这一发现为MOG-Ab疾病患者灰质结构受损提供第一个定量指标证据,并证明出现复发过程患者的灰质受损更为严重,对于临床治疗具有参考价值。
目前,大脑磁共振成像和分析技术已相对成熟,但是脊髓磁共振成像仍面临挑战。脊髓磁共振成像作为开展脊髓结构和功能研究的非侵入性研究技术,可以为脊髓疾病的发生、发展和预后提供更加具体和定量化的生理指标,对于基础研究和临床应用均有重要意义。随着成像技术的改进及分析流程的开发,脊髓磁共振成像在人体感觉、运动等基础科学研究,以及脊髓损伤、脊髓炎、多发性硬化症、肌萎缩性侧索硬化症和慢性疼痛等疾病的临床应用中逐渐得到推广使用。
孔亚卓和Jacqueline Palace为论文共同通讯作者,研究工作得到国家自然科学基金项目和中科院“科研信息化应用工程”项目等的资助。
图1.(A)脊髓结构分割示意(B)各向异性分数(FA)图、脊髓丘脑束(红色)和皮层脊髓束(绿色)(C)磁转化图像分割(D)T2* 轴位图,显示灰质和病灶(E)灰质分割(F)病灶分割(G)病灶配准到T2结构像

图2.通过正交偏最小二乘模型得出的预测结果:(A)MOG-Ab疾病与多发性硬化症(B)MOG-Ab疾病与AQP4-Ab疾病(C)AQP4-Ab疾病与多发性硬化症
© 1996 - 中国科学院 版权所有 京ICP备05002857号-1
京公网安备110402500047号 网站标识码bm48000002
地址:北京市西城区三里河路52号 邮编:100864
电话: 86 10 68597114(总机) 86 10 68597289(总值班室)