主要职责
中国科学院贯彻落实党中央关于科技创新的方针政策和决策部署,在履行职责过程中坚持党中央对科技工作的集中统一领导。主要职责是:
一、开展使命导向的自然科学领域基础研究,承担国家重大基础研究、应用基础研究、前沿交叉共性技术研究和引领性颠覆性技术研究任务,打造原始创新策源地。 更多+
院况简介
中国科学院是国家科学技术界最高学术机构、国家科学技术思想库,自然科学基础研究与高技术综合研究的国家战略科技力量。
1949年,伴随着新中国的诞生,中国科学院成立。建院70余年来,中国科学院时刻牢记使命,与科学共进,与祖国同行,以国家富强、人民幸福为己任,人才辈出,硕果累累,为我国科技进步、经济社会发展和国家安全作出了不可替代的重要贡献。 更多+
院领导集体
科技奖励
科技期刊
科技专项
科研进展/ 更多
工作动态/ 更多
工作动态/ 更多
中国科学院学部
中国科学院院部
语音播报

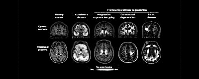
利用新tau蛋白示踪器进行的个体ET扫描 图片来源:TAGAI, ONO, KUBOTA ET A
一种新的脑成像示踪剂可以为研究阿尔茨海默病和其他神经退行性疾病的发展提供一扇清晰的窗口。这种示踪剂强调了大脑中有毒tau蛋白的积累,可以区分原本早期阶段难以区分的一系列被称为tau病理学的疾病,比如额颞叶痴呆和进行性核上麻痹。
正电子断层扫描是医院中常用的诊断技术,依靠放射性示踪剂来揭示感兴趣分子的位置。今年早些时候,美国食品和药物管理局批准了首个用于阿尔茨海默病的tau PET示踪剂Tauvid。
为了寻找一种可提供更清晰信号的tau示踪剂,研究人员对现有的示踪剂进行了改进,使其在体内的持续时间更长。这种被称为18F-PM-PBB3的新示踪剂携带放射性氟同位素,能够在tau蛋白缠结处释放出正电子,后者与靶分子结合时可被PET扫描仪检测到。
开发人员成功增强了tau蛋白的可视化,但他们的示踪剂也产生了意想不到的效果,可以与不同tau病理学区域的更多种类的tau蛋白沉积物结合。这意味着同样的示踪剂可用于多种神经退行性疾病的诊断测试。
研究人员在39名患有包括阿尔茨海默病在内的一系列与tau相关疾病的患者身上测试了这种示踪剂。根据脑扫描中示踪剂信号的位置,研究小组能够准确预测疾病的类型,这在后来的尸检中得到了证实。他们的结果10月29日发表在《神经元》杂志上。
在老年痴呆症的发展过程中,tau蛋白的沉积被认为是β淀粉样蛋白斑块积累引起的。尽管大多数针对阿尔茨海默病的疗法都集中在淀粉样蛋白上,但tau蛋白的存在被认为与症状的发展有更密切的联系。研究人员能够根据扫描中tau蛋白的丰富程度,准确预测出17名老年痴呆症患者症状的严重程度。
“在抗淀粉样蛋白药物的临床试验中,我们还需要在患者中追踪tau蛋白积累,从而观察这种与神经死亡密切相关的现象,是否可以通过减少淀粉样蛋白加以抑制。”该研究共同作者、日本国家放射科学研究所的Makoto Higuchi说。
这种示踪剂可能对除阿尔茨海默病以外的其他疾病产生最大影响。此前开发的实验跟踪器无法检测出tau病理学中常见的所有形式的tau蛋白。“旧示踪剂的一个问题是,阿尔茨海默病的tau病理学可以被检测出来,但在其他tau病理学中检测出它就困难了。这打开了新的视角。现在我们真的可以想象病人的病理,可以把它和症状联系起来。”并未参与这项研究的比利时哈瑟尔特大学的神经科学家Ilse Dewachter说。
在可能由tau蛋白引起的额颞叶痴呆等情况下,早期症状可能是显著的行为改变和丧失抑制能力,从而导致社会问题。“即使没有根治tau蛋白的方法,我们也可以通过预测每个患者出现的症状来帮助他们。这就是脑部tau蛋白沉积成像的主要优势。”
由于tau蛋白以外的其他蛋白质可能会导致额颞叶痴呆,成像技术也可能有助于确定参加临床试验的合适人选。
相关论文信息:
https://doi.org/10.1016/j.neuron.2020.09.042
扫一扫在手机打开当前页
© 1996 - 中国科学院 版权所有 京ICP备05002857号-1
京公网安备110402500047号 网站标识码bm48000002
地址:北京市西城区三里河路52号 邮编:100864
电话: 86 10 68597114(总机) 86 10 68597289(总值班室)








