English | 繁体 | RSS | 网站地图 | 收藏 | 邮箱 | 联系我们
首页 新闻 机构 科研 院士 人才 教育 合作交流 科学普及 出版 信息公开 专题 访谈 视频 会议 党建 文化
  您现在的位置: 首页 > 专题 > 旧专题 > 科普专题 > 认识SARS与冠状病毒
非典型肺炎的主要症状
  文章来源: 发布时间:2003-05-17 【字号: 小  中  大   

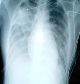
SARS患者患病十天的胸透照片


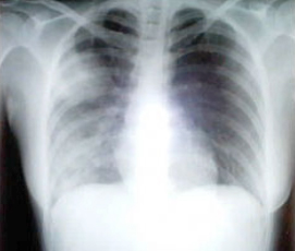
SARS患者患病八天的胸透照片


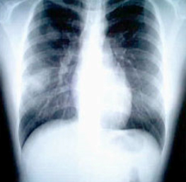
SARS患者患病五天的胸透照片


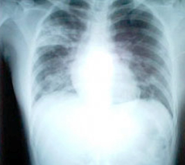
SARS患者患病三天的胸透照片


非典型肺炎的主要症状


症状主要表现为:持续高烧(高于38℃),头痛和全身酸痛、乏力,干咳、少痰,部分病人有气促等呼吸困难症状,少数进展为呼吸窘迫综合征,肺部影像学显示肺炎改变。一般感冒病征包括发烧,咳嗽,头痛,可在数日后转好,并且一般没有肺炎迹象外周血白细胞计数无明显变化,淋巴细胞计数减少。抗菌药无效。SARS病毒能侵犯多种脏器,引起免疫系统对脏器的过度攻击,导致严重的脏器损伤。

  打印本页 关闭本页
© 1996 - 中国科学院 版权所有 京ICP备05002857号  京公网安备110402500047号  联系我们
地址:北京市三里河路52号 邮编:100864