抑郁症是困扰人类的重大精神疾病之一,早期的双生子研究和领养研究证实,抑郁症是由遗传因素与外界环境共同作用的一种疾病。近年来,随着研究手段的不断成熟以及样本量的逐渐增大,越来越多的抑郁症易感基因被报道出来,然而绝大多数易感基因在中枢神经系统中的作用仍不甚清楚。
SLC6A15基因是首先在欧洲人群中通过全基因组关联分析发现的一个易感基因,位于SLC6A15基因区域的单核苷酸多态性位点(SNP)rs1545843在几份来自不同国家和地区的人群样本中均与抑郁症相关。同时,这个位点也被证实可以影响SLC6A15基因的mRNA表达,海马体积的变化以及神经元的完整性。不过,对于这个易感位点的研究仅限于此,其在中枢神经系统中的其它作用仍然不清楚。
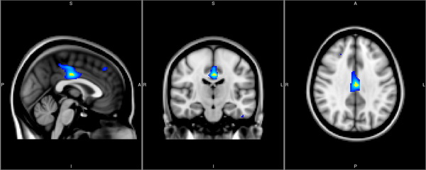
研究表明,绝大多数精神疾病易感基因均可以影响脑结构的变化,而这种效应无论是在病人中还是健康人群中均存在。有鉴于此,中国科学院昆明动物研究所宿兵研究员实验室(李明博士)通过与复旦大学冯建峰教授的实验室合作,对来自昆明的包含278个健康个体的人群进行了脑部结构的核磁共振扫描(MRI),并在全脑范围内分析了rs1545843与脑区结构变化的关系。他们的研究结果发现,rs1545843与大脑中部扣带回体积显著相关(下图)。
众所周知,扣带回在大脑中主要参与情绪以及认知进程,而情绪及认知能力的改变是抑郁症患者的一个主要症状,并且有证据表明扣带回体积在抑郁症患者中发生了明显病变。因此,他们的研究结果进一步支持了SLC6A15基因在抑郁症发病中的作用,并且提示了其可能的致病机制。
该研究结果7月1日发表于国际精神病学刊物American Journal of Psychiatry。
论文链接

昆明动物所等人群大脑结构差异遗传基础研究取得新进展