
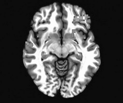
当青少年在一项常规的冲动测试中成功抵制冲动时,他们的大脑中负责约束管制的区域会明显表现得更加活跃。图片来源:神经科学协会
为什么青少年,尤其是男性,犯罪率比成人还高?一种解释是:作为一个群体,青少年在面对危急情况的时候比儿童或成人更加冲动,可能是因为他们的大脑很难控制自己的行为,一个研究小组近日在一场神经科学学术会议上报道称。
无论是在湿滑的路面开快车还是尝试吸食毒品,青少年遭遇这样的危险往往是由于不成熟或者在作决定时缺乏足够的考虑。如果不成熟或缺乏判断是出现问题的唯一理由,那么,人们会认为孩子的大脑正处于发育的早期阶段,这使得他们同等地或更多地喜欢去冒险,领导这项研究的美国纽约威尔康奈尔医学院神经学家Kristina Caudle这样说。
神经学家、首席研究员B. J. Casey说,很难概括十几岁青少年的冲动行为,因为一些青少年显然已经比很多成年人更有自控能力。不过,越来越多的证据表明:在一般情况下,青少年在社交场合特别难以保持冷静。
研究小组称,青少年相比成年人和儿童在同样面对具有威胁性的面孔时表现出冲动的比例要高出大约15%。男性表现得要比女性差,这与男女青少年犯罪不成比例的事实相符合,体现了性别上的差异,Caudle说。那些设法抑制自己的青少年在大脑一定区域的活动表现明显活跃,这一区域被称为腹内侧前额叶皮质(vmPFC),该区域参与人类自上而下的控制行为。
Caudle说:“就好像十几岁青少年的大脑可能需要更多的努力才能收回对行为反应作出的回馈。”这可能有助于解释为什么青少年罪犯不可能成为惯犯,研究人员称。
“这项研究强烈表明:青少年的大脑在面临有威胁的面孔会表现得异常冲动。”纽约城市大学神经生物学家Jon Horvitz说,“这是一个激动人心的发现。”